🦷 بهترین دندانپزشک در بابل را چگونه بشناسیم؟
داشتن لبخندی زیبا و دندانهایی سالم، آرزویی نیست که دور از دسترس باشد؛ بهویژه اگر بهدنبال بهترین دندانپزشک در بابل باشید. اگر ساکن بابل یا شهرهای اطراف هستید و بهدنبال پزشکی قابلاعتماد برای درمانهای تخصصی و زیبایی دندان هستید، این مقاله دقیقاً برای شما نوشته شده است.
✅ اما چرا انتخاب دندانپزشک اهمیت دارد؟
💡 تجربه، تخصص، تجهیزات مدرن، برخورد حرفهای، تنوع خدمات و شرایط پرداخت، از مهمترین معیارهایی هستند که باید در نظر داشته باشید.
🌐 اگر هنوز در انتخاب بهترین گزینه شک دارید، نگران نباشید؛ دکتر نیکافشار با سالها تجربه موفق در حوزه دندانپزشکی، پاسخی شایسته برای نیاز شماست. در ادامه مقاله، با خدمات مطب، نحوه نوبتدهی، شرایط پرداخت و رضایتمندی بیماران بیشتر آشنا میشوید.
دکتر نیک افشار، بهترین دندانپزشک در بابل
دکتر نیکافشار، متخصص بیماریهای دهان، فک و صورت، یکی از چهرههای برجسته و علمی در حوزه دندانپزشکی در استان مازندران بهشمار میرود. ایشان متولد سال ۱۳۶۷ در شهر مشهد هستند و تحصیلات خود را در رشته دندانپزشکی عمومی در سال ۱۳۹۲ از دانشگاه علوم پزشکی بابل به پایان رساندند. سپس در سال ۱۳۹۷ موفق به اخذ مدرک تخصصی بیماریهای دهان، فک و صورت از همان دانشگاه شدند.
🔹 سوابق علمی و افتخارات دکتر نیکافشار:
کسب رتبه برتر در آزمون بورد تخصصی کشوری
دریافت دانشنامه تخصصی دندانپزشکی
اخذ فلوشیپ تخصصی لیزر از کشور ایتالیا
دارای گواهی ثبت اختراع در زمینه تجهیزات دندانپزشکی
انتخاب به عنوان مخترع برتر استان مازندران
عضو رسمی بنیاد ملی نخبگان
با بیش از ۱۲ سال تجربه حرفهای در حوزه درمانهای عمومی و تخصصی دندانپزشکی، دکتر نیکافشار امروز با بهرهگیری از دانش روز، تجهیزات مدرن و رویکردی علمی و انسانی، در کنار شماست تا بهترین خدمات ممکن را در محیطی امن، آرام و حرفهای ارائه دهد.
برای کسب اطلاعات بیشتر همین الان فرم زیر را پر کنید تا مشاورین ما در اسرع وقت با شما تماس بگیرند.
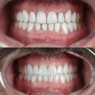
قسمتی از نمونه کار های بهترین دندانپزشکی بابل
مجمعه ای از رضایت های مراجعین به بابل ایمپلنت
در ویدیو های زیر رضایت کامل مراجعین به کیلینیک دندانپزشکی بابل ایمپلنت، بهترین دندانپزشکی در شهر بابل را مشاهده میکنید.
خدمات دندانپزشکی بابل ایمپلنت
در بابل ایمپلنت، تمامی نیازهای دندانپزشکی شما تحت نظر دکتر نیکافشار، با بهروزترین تجهیزات و رویکرد تخصصی پاسخ داده میشود:
ایمپلنت و ایمپلنت دیجیتال
• ایمپلنت فوری و دیجیتال (تحت رهبری دکتر) با استفاده از تکنولوژیهای پیشرفته
• سینوس لیفت و پیوند استخوان برای درمان بیماران با نیازهای پیچیده
زیبایی دندان
• کامپوزیت ونیر برای اصلاح فرم و رنگ دندان
• لمینت سرامیکی با ظاهری طبیعی و بادوام
• بلیچینگ لیزری برای سفیدی موثر و ماندگار
خدمات عمومی
• عصبکشی (درمان ریشه)
• کشیدن دندان (از جمله دندان عقل نهفته نیمهنهفته)
• ترمیم سطحی سیاهشدگیها و پوسیدگیها
ارتودنسی و مرتبسازی
• ارتودنسی ثابت و شفاف برای اصلاح ناهنجاریهای دندانی و فکی
خدمات تخصصی دهان، فک و صورت
• درمان بیماریهای دهان و فک مانند درد، زخم، توده و سرطان
• جراحی و نمونهبرداری با لیزر
• صدور گواهی سلامت دهان ویژه بانوان پیش از بارداری.
برای اطلاعات بیشتر از هزینه دندانپزشکی در بابل مقاله مربوطه را مطالعه کنید.
چرا انتخاب یک دندانپزشک خوب اهمیت دارد؟
انتخاب یک دندانپزشک مناسب، نه تنها بر کیفیت درمانهای دهان و دندان شما تأثیر میگذارد، بلکه میتواند بر سلامت عمومی بدن، اعتمادبهنفس، هزینههای درمان و حتی تجربهی روانی شما از مراجعه به مطب هم اثرگذار باشد.
در ادامه با مهمترین مزایای انتخاب یک دندانپزشک خوب آشنا میشویم:
✅ دریافت درمانهای اصولی و ماندگار
دندانپزشک حرفهای، بر پایهی دانش بهروز و با استفاده از ابزارها و روشهای استاندارد، درمانی ارائه میدهد که پایدار، کمخطر و مطابق با استانداردهای علمی روز دنیا باشد. این موضوع باعث کاهش نیاز به درمانهای مجدد یا اصلاحی در آینده خواهد شد.
✅ تشخیص دقیق و بهموقع بیماریها
یک دندانپزشک خوب، نه تنها در درمان، بلکه در تشخیص زودهنگام بیماریهای دهان و فک نیز نقش حیاتی دارد. بسیاری از مشکلات مانند تحلیل لثه، پوسیدگی مخفی یا حتی ضایعات دهانی در مراحل اولیه تنها توسط پزشک مجرب قابل تشخیص هستند.
✅ صرفهجویی در وقت و هزینه
شاید در نگاه اول، هزینهی مراجعه به یک پزشک حرفهای بیشتر بهنظر برسد؛ اما با جلوگیری از اشتباهات درمانی، درمان ناقص یا روشهای تهاجمی غیرضروری، در بلندمدت هزینه و زمان شما کاهش خواهد یافت.
✅ رضایت بیشتر از نتایج درمانهای زیبایی
درمانهایی مانند کامپوزیت، لمینت، ایمپلنت یا ارتودنسی، نیاز به دقت بالا و درک هنری از زیبایی دارند. انتخاب پزشک متخصص و باسلیقه، لبخندی طبیعی و هماهنگ با چهرهی شما به ارمغان میآورد.
✅ احساس امنیت، آرامش و اعتماد
یک پزشک خوب، علاوه بر مهارت فنی، برخورد حرفهای، صبوری و احترام به دغدغههای بیمار را هم سرلوحهی کار خود قرار میدهد. این موضوع برای بسیاری از بیماران، بهویژه کسانی که دچار اضطراب دندانپزشکی هستند، اهمیت بالایی دارد.
ویژگیهای بهترین دندانپزشکی در بابل
انتخاب یک مرکز دندانپزشکی قابلاعتماد، گام اول برای حفظ سلامت دهان و دندان است. اگر بهدنبال بهترین دندانپزشکی در بابل هستید، باید معیارهای مختلفی را در نظر بگیرید تا با خیال راحت تحت درمان قرار بگیرید.
یکی از مهمترین ویژگیها، تجربه و مهارت دندانپزشک است. یک دندانپزشک خوب در بابل باید علاوه بر دانش علمی، دقت بالا، صبوری در برخورد با بیمار و توانایی تشخیص دقیق داشته باشد. همچنین استفاده از تجهیزات مدرن، رعایت کامل اصول بهداشتی و ارائه خدمات متنوع در زمینههای درمانی، زیبایی و پیشگیری از دیگر نشانههای یک مرکز حرفهای محسوب میشود.
نکته مهم دیگر، دسترسی آسان و پاسخگویی مناسب به بیماران است. مرکز درمانیای که بتواند در کوتاهترین زمان به نیازهای بیماران پاسخ دهد، اطمینان خاطر بیشتری ایجاد میکند.
📌 اگر بهدنبال دریافت خدمات تخصصی، با کیفیت بالا و برخورد انسانی در محیطی آرام هستید، بررسی دقیق گزینههای مختلف دندانپزشکی در بابل به شما کمک میکند بهترین انتخاب را داشته باشید.
جمعبندی؛ انتخاب آگاهانه برای لبخندی ماندگار
در انتخاب دندانپزشک، تخصص، تجربه، صداقت و برخورد حرفهای فاکتورهایی حیاتی هستند که نمیتوان از کنار آنها بهراحتی عبور کرد. اگر بهدنبال درمانی هستید که نهتنها از نظر علمی استاندارد باشد، بلکه تجربهای آرام، امن و رضایتبخش برای شما رقم بزند، مراجعه به دکتر نیکافشار در بابل ایمپلنت میتواند بهترین تصمیم شما باشد.
✅ از خدمات پایه مانند کشیدن دندان و ترمیم پوسیدگی
✅ تا درمانهای پیچیده مثل ایمپلنت دیجیتال، ارتودنسی و طراحی لبخند
همهچیز در این مطب با بالاترین سطح استاندارد ارائه میشود.
📞 حالا وقت آن رسیده که سلامت دهان و دندان خود را به دستان مطمئن بسپارید. برای دریافت نوبت، مشاوره یا اطلاعات بیشتر، همین حالا با مطب تماس بگیرید یا از طریق سایت نوبت رزرو کنید.








18 دیدگاه
پرسنل خیلی مودب و پاسخگو بودن. مشاوره کامل دادن و همهچیز واضح و شفاف بود.
خانم محمدی عزیز، رضایت شما از روند مشاوره و خدمات برای ما بسیار ارزشمنده. ممنون از بازخورد خوبتون 🌸
کار خیلی تمیز و دقیق بود، بدون هیچ دردی. ممنون از تیم خوبتون.
از رضایت شما انرژی میگیریم. تلاش ما همیشه ارائه درمانهای بدون درد و دقیق با استفاده از متریال مرغوب هست.
ارتودنسی شفاف انجام دادم، هم راحت بود هم نامرئی. خیلیا اصلاً متوجه تغییرش نشدن ولی من دارم نتیجه رو کامل حس میکنم.
ارتودنسی نامرئی گزینهای عالی برای کسانی هست که دنبال زیبایی و راحتی توأمان هستن. خوشحالیم از انتخابتون راضی هستید.
قیمت خدمات نسبت به کیفیتی که ارائه میدن واقعاً منطقیه. مخصوصاً وقتی کار تخصصی میخوای.
ممنون بابت بازخورد خوبتون. ما همیشه سعی میکنیم بهترین کیفیت رو با هزینهای منصفانه ارائه بدیم.
از لمینتهایی که برام گذاشتن خیلی راضیم. رنگ و فرم کاملاً طبیعی و هماهنگ با صورتمه. 👏
خانم زارعی عزیز، باعث خوشحالی ماست که از لبخند جدیدتون رضایت دارید. طراحی لبخند زیبا با حفظ تناسب چهره همیشه در اولویت تیم درمانی ماست.
برای کشیدن دندان عقل مراجعه کردم. برخلاف تصورم اصلاً اذیت نشدم. خیلی خوب و راحت بود.
خوشحالیم که تجربه مثبتی داشتید. کشیدن دندان عقل با کمترین درد و عارضه از اولویتهای ماست.
محیط مطب خیلی تمیز و آرومه، برخورد دکتر نیکافشار هم فوقالعاده محترمانهست.
خانم مرادی عزیز، نظر محبتآمیز شما باعث دلگرمی ماست. تلاش ما فراهم کردن فضایی آرام، امن و حرفهای برای تمام مراجعهکنندگان هست. 🌿
ایمپلنت دیجیتال انجام دادم. بدون درد، سریع و دقیق. واقعاً فرقش با روشهای قدیمی زمین تا آسمونه!
آقای قنبری، از اینکه تجربهی خوبی از ایمپلنت دیجیتال داشتید خوشحالیم. هدف ما همیشه استفاده از تکنولوژیهای روز برای راحتی و رضایت شماست. 🙏
من برای کامپوزیت مراجعه کردم و واقعاً از نتیجه نهایی راضیام. فرم دندونهام دقیق همون چیزی شد که میخواستم. ممنون از تیم حرفهای کلینیک.
خانم احمدوند عزیز، از اعتماد شما بسیار سپاسگزاریم. خوشحالیم که نتیجه کار مطابق انتظارتون بوده. لبخند زیبای شما، افتخار ماست. 🌟